Case Studies
Discover the kind of results we can help you achieve with our high quality dental treatments…
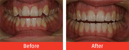
Braces:
Implants:

Crowns and Bridges:

Orthodontics:








| Monday | 8:00am to 6:00pm | |
| Tuesday | 8:00am to 6:00pm | |
| Wednesday | 8:00am to 6:00pm | |
| Thursday | 8:00am to 6:00pm | |
| Friday | 8:00am to 6:00pm | |
| Saturday | 8:00am to 12:00pm |
Straighten Your Smile with Invisalign!
Continue reading